Where Excellence Meets Compassion: Transforming Smiles, Restoring Confidence, and Nurturing Oral Health Every Day.

Gums Depigmentation

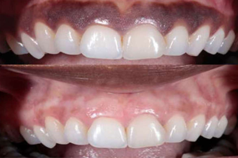
What is a Gums Depigmentation?

Gum depigmentation, also known as gum bleaching or gum whitening, is a cosmetic dental procedure designed to lighten or remove dark or pigmented areas on the gums. These pigmented areas are typically brown or black, and they can make the gums appear uneven in color, which some individuals find aesthetically displeasing.

Assessment

Before the procedure, a dentist or periodontist (a specialist in gum health) will assess the patient's gums to determine the extent and nature of the pigmentation.

Why Gums Depigmentation recommended?

Gum depigmentation, or gum bleaching, is typically recommended for cosmetic reasons rather than medical necessity.

Aesthetic Concerns

The most common reason for gum depigmentation is to improve the appearance of the smile.

Enhanced Self-Confidence

Individuals with pigmented gums may feel self-conscious about their smile.

Personal Preferences

Some people simply prefer lighter or pink gums from an aesthetic standpoint, and they choose gum depigmentation to align with their personal preferences.

Photography and Modeling

Individuals in professions that involve frequent photography or modeling may opt for gum depigmentation to achieve a more photogenic smile.

FAQ's

Gum depigmentation, also known as gum bleaching or gum whitening, is a cosmetic dental procedure aimed at lightening or removing dark or pigmented areas on the gums to improve the appearance of the smile.

Gum pigmentation is a natural variation caused by the presence of melanin, a pigment responsible for skin and gum color. Some individuals naturally have darker gums due to higher melanin levels.

No, gum depigmentation is typically performed for cosmetic reasons rather than medical necessity. It is elective and intended to enhance the appearance of the smile.

Gum depigmentation can be performed using various techniques, including laser therapy, surgical removal, or chemical depigmentation. The chosen method depends on the patient's needs and the dentist's recommendation.

Patients may experience some discomfort during and after the procedure, but dentists often use topical anesthesia to minimize pain during the treatment. Post-operative discomfort, including swelling and minor bleeding, is usually temporary.

Book An Appointment

Please Call Us To Ensure